Санкт-Петербург ваш город?
Да
Выбрать другой город

УЗИ-аппарат
GE Voluson E8

В наличии
Ультразвуковой аппарат GE Voluson E8 представляет собой мощную систему, специально разработанную для работы в коммерческих и государственных медицинских учреждениях с высоким потоком пациентов. Он отлично подходит для проведения обследований в области гинекологии и акушерства, а также позволяет осуществлять локальное сканирование тканей и органов, а также проводить комплексное диагностическое исследование.
Лизинг
Доставка и лизинг по всей России
Включая Дагестан, Чечню и Крым
Гарантия
Гарантия на медицинское оборудование от производителя!
Послепродажный сервис
Инженерная поддержка
Инструктаж по монтажу и обучение персонала включены в стоимость
Гибкие условия
Оперативная доставка
Лизинг и доставка оборудования в наличии от 1 рабоего дня

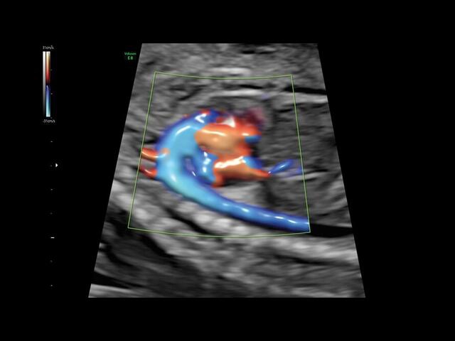
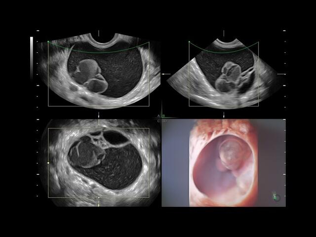
Система GE Voluson E8 обладает значительной вычислительной мощностью, которая позволяет решать даже самые сложные задачи в области диагностики плода. Она отличается высоким уровнем качества и статусом, предоставляя врачу потрясающие изображения во время 2D/3D-исследований. Кроме того, система всегда готова к использованию режима 4D благодаря чувствительному цветному доплеру.

Одним из ключевых преимуществ GE Voluson E8 является высокая точность диагностики. Врач больше не тратит время на рутинные процессы, так как интеллектуальная система самостоятельно выполняет анализ и обработку полученной информации, создает отчеты и базу данных клиентов с возможностью облачного обмена между коллегами.

Экспертное качество изображений достигается благодаря передовой технологии Speckle Reduction Imaging. Ее основное преимущество заключается в том, что она позволяет работать с высоким разрешением, сохраняя видимость исходной структуры ткани.

GE Voluson E8 предлагает врачам надежное и мощное решение для плодовой диагностики, обеспечивая высокую точность и превосходное качество изображений.

Основные преимущества системы GE Voluson E8:

  • Улучшенная детализация изображения: Система обеспечивает высокую детализацию изображений благодаря передовым технологиям формирования луча и переносу большего количества функций в программное обеспечение.
  • Высокая скорость обработки данных: Благодаря усовершенствованной аппаратной части, система обеспечивает высокоскоростную обработку информации и большую частоту кадров.
  • Увеличенная частота кадров: Система повышает качество визуализации и увеличивает частоту кадров благодаря параллельной обработке данных.
  • HDlive: Технология HDlive обеспечивает анатомический реализм и высокую точность диагностики, позволяя совмещать несколько независимых источников света для создания оттенков и теней.

Используемые технологии:

  • Алгоритм SRI (Speckle Reduction Imaging) для уменьшения шумов.
  • Технология CrossXBeamCRI для улучшения дифференциации тканей.
  • HD-FlowTM для точного изучения кровотока и прорисовки сосудов.
  • Технология контрастной 3D-визуализации VCI для повышения качества изображений в одной и трех проекциях.
  • Режим ультразвуковой томографии TUI для одновременного просмотра нескольких параллельных срезов в режиме реального времени и кинопетли.
  • Технология TruAccess для работы с "сырыми" данными без предварительной обработки.

Система GE Voluson E8 предлагает высокое качество изображений и передовые технологии для точной диагностики и обеспечения эффективной работы специалистов.

Купить УЗИ ультразвуковую диагностическую систему Voluson E8

Вы можете приобрести ультразвуковую диагностическую систему Voluson E8 у компании Medicray. Мы специализируемся на поставках медицинского оборудования в различные медицинские учреждения. Мы гарантируем своевременные поставки, высокое качество оборудования и оптимальные цены. У нас также предлагаются выгодные условия лизинга.

  • Чтобы приобрести систему Voluson E8, оставьте заявку на нашем сайте или свяжитесь с нами по телефону 8 800 700 21 33.
  • Наш менеджер подготовит для вас предложение на оборудование и предоставит график платежей.
  • После получения одобрения от выбранной лизинговой компании, вы заключаете договор лизинга.
  • Лизинговая компания приобретает оборудование и передает его вам в лизинг, чтобы вы могли начать использовать его.
  • В течение договорного срока вы вносите регулярные лизинговые платежи, и по окончании договора оборудование переходит в вашу собственность.

Не упустите возможность получить выгодную цену и лучшие условия финансирования. Звоните нам уже сейчас по телефону 8 800 700 21 33 и оставьте заявку на коммерческое предложение по ультразвуковой диагностической системе Voluson E8. Поторопитесь, потому что цены могут возрасти в будущем!

Технические характеристики
Диагональ монитора:
23 дюйм
Диагональ командной сенсорной панели:
12.1 дюйм
Жесткий диск:
512 ГБ
Тип аппарата:
Стационарный
Эластография:
Компрессионная
Класс аппарата:
Экспертный
Поддерживаемые датчики:
Матричные
Количество портов:
4
Страна производитель:
США
Бренд:
GE Healthcare
Категория:
Общая визуализация, Гинекология и акушерство
Доступные опции
Режимы акустической прозрачности 3D:
Нет
Трехмерная реконструкция ЦДК:
Да
Объемное сканирование:
Нет
Трехмерная реконструкция методом свободной руки:
Да
Эластография сдвиговой волной/Эластометрия:
Нет
Компрессионная эластография:
Да
Автоматическая подстройка рамки допплера:
Нет
Режим полной автоматизации:
Нет
Недопплеровская визуализация кровотока:
Да
Тканевой допплер:
Да
Направленный энергетический допплер:
Да
Энергетический допплер:
Да
Высокочастотный импульсный допплер:
Да
Цветовой допплер:
Да
Постоянно-волновой допплер:
Да
Импульсно-волновой допплер:
Да
Анатомический М-режим:
Да
Панорамное сканирование:
Да
Режим B-сканирования с отклонением угла:
Да
Трапециевидное сканирование/Виртуальный конвекс:
Да
Триплексное сканирование:
Нет
Цветной M-режим:
Нет
M-режим:
Нет
B-режим, Двухмерное сканирование:
Нет
Область применения
Общая визуализация:
Да
Гинекология:
Да
Компоненты дополнительной поставки
4D:
Да
DICOM:
Да
STIC:
Да
Подавление зернистости:
Да
ЭКГ модуль:
Да
SonoRenderLive :
Да
Basic VCI (VCI-A + VCI Static):
Да
Advanced VCI (Volume Contrast Imaging):
Да
Томографический ультразвук (TUI):
Да
OmniView:
Да
SonoVCAD labor:
Да
VOLUME CALCULATION II:
Да
HDlive:
Да
SonoVCADheart:
Да
SonoAVC:
Да
Advanced 4D:
Да
Онлайн калькулятор
Цена
Ориентировочная цена модели
Аванс
10% 100%
 
Срок лизинга
12 месяцев 36 месяцев
 
Ежемесячный платёж
Первоначальный взнос
* Рассчет платежа носит информационный характер и не является публичной офертой.
Условия лизинга индивидуальны для каждого договора.
Условия лизинга
  • По всей России (Включая Крым, Дагестан и Чечню)
  • Авансовый платеж от 10% (для УЗИ брендов GE, Mindray и Samsung)
  • Оформление лизинга от 48 часов
  • Возможность досрочного погашения
  • Лизинг оборудования от 1 года

Отличительные особенности Voluson E8

  • LED дисплей с увеличенным разрешением и высокой четкостью с диагональю 23’ дюйма
  • Настройка интерфейса для удобства работы врача
  • Предварительный просмотр отчетов исходя из результатов проведенных измерения
  • Возможность вывода изображения на экран в формате XL
  • Высокочувствительный экран 12" с возможностью навигации при помощи жестов
  • Регулировка панели управления при помощи одной кнопки
  • Подсвечиваемые порты для датчиков

Автоматические измерения Voluson E8 для повышения эффективности УЗИ исследований

  • Функция SonoBiometry - автоматический анализ базовых фетометрических показателей плода (БПР, ОГ, ОЖ, ДБ, ДП)
  • SonoNT - автоматический расчет толщины воротникового пространства и SonoIT - размера четвертого желудочка
  • SonoVCAD heart - програма для обследования сердца плода в 3D/4D по рекомендованным ISUOG параметрам
  • SonoAVC - возможность автоматического расчета размеров и объема анэхогенных образований с режиме 3D/4D, включая исследования размера фолликулов и головного мозга, а также для проведения соногистерографии

Режимы сканирования и визуализации:

  • В-режим
  • М-режим
  • ЦДК в М-режиме
  • Импульсно-волновой допплер
  • PD Энергетический допплер
  • Направленный энергетический допплер
  • TD Тканевый допплер
  • Триплексный режим
  • 3D – трехмерное сканирование в статическом режиме
  • 4D – трехмерное сканирование в реальном масштабе времени

Базовый набор включает:

  • Светодиодный монитор высокого разрешения диагональю 19 дюймов
  • Интерфейс пользователя с сенсорной ЖК-панелью диагональю 10,4 дюйма
  • Количество портов 3
  • Версия программного обеспечения BT13
  • Жесткий диск объемом 500 ГБ

Опции:

  • Цветное доплеровское картирование кровотока;
  • Программа 3D и режим инверсии (при наличии специализированных датчиков);
  • B-Flow - Недоплеровская визуализация кровотока в B-режиме;
  • HD-Flow - высокочувствительный допплер;
  • XTD View - панорамное сканирование;
  • АТО - автоматическая оптимизация изображения во всех режимах сканирования;
  • CRI - Compound Resolution Imaging - многолучевое сложносоставное сканирование;
  • SRI - Speckle reduction imaging - органоспецифичный режим подавления артефактов;
  • CE - Coded Excitation – кодированная посылка импульса;
  • FFC - Focus Frequency Composite – многофокусная обработка сигнала;
  • ScanAssistant - автоматизация повторяющихся операций;
  • SonoNT - автоматический расчет толщины воротникового пространства;
  • SonoIT - автоматический расчет размера IV желудочка;
  • SonoBiometry - автоматическое измерение основных биометрических показателей - БПР, ОГ, ОЖ, ДБ, ДП;
  • Coded Harmonic Imaging - визуализация с кодированием гармоник;
  • Coded Contrast Imaging - режим кодированной контрастной гармоники для проведения исследований с контрастными веществами;
  • TUI - Tomographic Ultrasound Imaging - ультразвуковая томография;
  • VCI - Volume Contrast Imaging - объемная контрастная визуализации для получения коронарного сечения + возможность регулировки толщины коронарного срезаµ
  • STIC - Spatio-Temporal Image Correlation - функция для раннего выявления пороков сердца плодаµ
  • SonoVCAD™heart - программа исследования сердца плода в режиме 4D с быстрым доступом к плоскостям сканирования;
  • VOCAL II – VOCAL ™ – Virtual Organ Computer Aided Analysis - программное обеспечение для автоматического определения контуров структур и расчета их объема в режиме объемной реконструкции, выполнения объемных измерений;
  • SonoAVA - автоматическая программа расчета размеров и объема анэхогенных образований/структур в режиме объемной реконструкции;
  • 4D Fetal Cardio - DiagnoSTIC option - специализированное программное обеспечение для исследования сердца плода в режиме Real Time 4D с использованием цветного, энергетического допплера, В Flow;
  • Программа полуавтоматических расчетов объема;
  • Real Time 4D – трехмерное сканирование в режиме реального времени со скоростью до 45 объемных изображений в секунду;
  • В пренатальной диагностике выявление аномалий плода на ранних стадиях развития объемным ( при наличии специализированного датчика);
  • Stat 3D - работа трёхмерными датчиками в статическом режиме в серой шкале;
  • Live 3D™ - трехмерное УЗИ в реальном времени (4D УЗИ);
  • Steering - изменение допплеровского угла в режимах CD и PD;
  • XI STIC - объёмная динамическая визуализация сердца плода;
  • Multi-Slice View - мультислайсинг;
  • VolumeCT - трёхмерная реконструкция изображений;
  • Oblique View - получение 2D изображения из трехмерного массива;
  • VOCAL™ - автоматический расчет объёмов, объёмных гистограмм и сосудистых индексов;
  • SonoAtlas - программа обучения проведению ультразвуковой диагностики;
  • SonoView™ - система архивации и дальнейшего просмотра;
  • Multi-beam Beamforming - динамический фокус, динамическая апертура, динамическая аподизация;
  • Quick Scan™ - режим автоматической настройки изображения;
  • SRF - Speckle Reduction Filter - фильтр подавления шума;
  • FSI - Full Spectrum Imaging™;
  • See-Thru™ - технология объединения энергетического допплера и серошкального 3D изображения;
  • 3D XI - 3D eXtended Imaging;
  • Dynamic MR;
  • SCI - Spatial Compound Imaging.

Расширенные возможности версии BT14:

  • Усовершенствованный формирователь луча

Расширенные возможности версии BT16:

  • 4 активных порта для датчиков;
  • Светодиодный монитор высокого разрешения диагональю 23 дюйма;
  • Инновационный интерфейс пользователя с сенсорной ЖК-панелью высокого разрешения диагональю 12,1 дюйма;
  • SonoRenderLive возможность активации функции автоматического определение плода в режиме 3D ;
  • Возможность оснащения инновационной опцией для объемной визуализации HDlive Silhouette;
  • Платформа Radiance System Architecture ;
  • Поддержка стандарта DICOM 3.0;
  • RePro воссоздание условий сканирования для динамического наблюдения за пациентом - система автоматически загружает все настройки сканирования и подключает необходимый датчик.

Расширенные возможности версии BT17

  • HDlive Flow Silhouette;
  • HDlive Studio.

  • Мультичастотный объемный (4D) абдоминальный датчик GE RAB4-8-D
  • Линейный широкополосный датчик GE 10L
  • Конвексный датчик GE 4C-D
  • Мультичастотный объемный (4D) линейный датчик GE RSP-6-16-D
  • Конвексный широкополосный диагностический датчик GE 3.5CS
  • Линейный датчик GE 9L-RS
  • Конвексный датчик Mindray 3C5A
  • Мультичастотный абдоминальный конвексный датчик GE AB2-7-D
  • Мультичастотный объемный (4D) матричный конвексный датчик GE RAM3-8
  • 4D конвексный датчик 4D3C-L
  • Мультичастотный матричный объемный конвексный датчик GE RAB2-5-D
  • Мультичастотный линейный датчик GE 8L-RS
  • Линейный многочастотный датчик GE 12L
  • Ультразвуковой линейный датчик 9L-D
  • Мультичастотный объемный (4D) матричный датчик GE RSM5-14
  • Линейный ультразвуковой датчик GE 11L-D
  • Ректально-вагинальный датчик GE E8C-RS
  • Микроконвексный датчик GE 8C-RS
  • Внутриполостной микроконвексный датчик GE RIC5-9-D
  • Мультичастотный (4D) микроконвексный вагинальный датчик GE RIC6-12-D
  • Микроконвексный внутриполостной датчик IC5-9D
  • Биплановый широкополосный мультичастотный датчик GE ERB
  • Линейный операционный широкополосный ультразвуковой датчик GE I739
  • Интраоперационный Т-образный линейный датчик GE T739
  • Неотображающий карандашный доплеровский датчик GE P2D
  • Карандашный датчик GE P6D
  • Биплановый датчик GE BE9CS-RS
Давайте обсудим
Покупку или лизинг
медицинского оборудования