Санкт-Петербург ваш город?
Да
Выбрать другой город

УЗИ-аппарат
Mindray Consona N6

В наличии
Mindray Consona N6 представляет собой устройство высокого уровня, специально спроектированное для использования в медицинских учреждениях первичного звена. Этот аппарат предлагает инновационные и точные решения, которые значительно улучшают процесс диагностики для широкого спектра пациентов.
Лизинг
Доставка и лизинг по всей России
Включая Дагестан, Чечню и Крым
Гарантия
Гарантия на медицинское оборудование от производителя!
Послепродажный сервис
Инженерная поддержка
Инструктаж по монтажу и обучение персонала включены в стоимость
Гибкие условия
Оперативная доставка
Лизинг и доставка оборудования в наличии от 1 рабоего дня

Ультразвуковая система Mindray Consona N6 построена на революционной платформе ZST+, которая представляет новый подход к ультразвуковой визуализации, обеспечивая исключительное качество изображений.

Инновационная технология визуализации

Преимущества платформы ZST+:

  • Уникальный метод анализа данных на основе информации от каждого канала
  • Оптимальный баланс между пространственным и временным разрешением
  • Улучшенная однородность визуализации тканей
  • Непрерывное совершенствование качества изображения

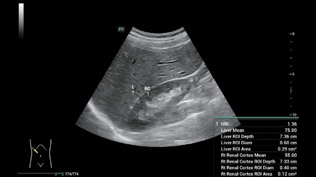
Расширенные диагностические функции

Передовые технологии исследования:

  • Звуковая сенсорная эластография (STE) для точной оценки жесткости тканей
  • Высокочувствительная технология HR Flow для детальной визуализации кровотока
  • 3D-визуализация мелких и перекрывающихся сосудов
  • Фотореалистичная 4D-визуализация с технологией iLive

Эргономичный дизайн

Продуманная конструкция:

  • Безрамочный HD-монитор для комфортного просмотра
  • Full HD сенсорный экран с интуитивным управлением
  • Защищенная от влаги и пыли панель управления
  • Встроенный аккумулятор для мобильного использования

Приобретение Mindray Consona N6

Для получения подробной информации о стоимости и условиях поставки ультразвуковой системы Mindray Consona N6 свяжитесь с нами по телефону 8 800 700 21 33. Мы предлагаем:

  • Профессиональную консультацию по выбору конфигурации
  • Оперативную доставку и установку оборудования
  • Обучение персонала работе с системой
  • Гарантийное обслуживание и техническую поддержку

Позвоните нам сейчас по номеру 8 800 700 21 33, чтобы получить персональное коммерческое предложение на ультразвуковую систему Mindray Consona N6.

Технические характеристики
Диагональ монитора:
21.5 дюйм
Диагональ командной сенсорной панели:
13.3 дюйм
Вес аппарата:
65 кг
Жесткий диск:
1000 ГБ
Тип аппарата:
Стационарный
Эластография:
Компрессионная
Класс аппарата:
Высокий
Поддерживаемые датчики:
Высокоплотные
Уникальные технологии:
ZST+
Количество портов:
4
Страна производитель:
Китай
Бренд:
Mindray
Категория:
Общая визуализация, Гинекология и акушерство, УЗИ для кардиологии
Доступные опции
Режимы акустической прозрачности 3D:
Да
Режим полной автоматизации:
Нет
Недопплеровская визуализация кровотока:
Нет
Тканевой допплер:
Да
Направленный энергетический допплер:
Да
Энергетический допплер:
Да
Высокочастотный импульсный допплер:
Да
Цветовой допплер:
Да
Постоянно-волновой допплер:
Да
Импульсно-волновой допплер:
Да
Анатомический М-режим:
Нет
Панорамное сканирование:
Да
Режим B-сканирования с отклонением угла:
Да
Трапециевидное сканирование/Виртуальный конвекс:
Да
Триплексное сканирование:
Да
Дуплексное сканирование:
Да
Цветной M-режим:
Да
M-режим:
Да
B-режим, Двухмерное сканирование:
Да
Область применения
Общая визуализация:
Да
Кардиология:
Да
Гинекология:
Да
Компоненты дополнительной поставки
iScanHelper:
Да
uLink:
Да
iScanHelper:
Да
iBeam:
Да
iTouch :
Да
Echo Boost:
Да
HR Flow:
Да
iClear:
Да
Онлайн калькулятор
Цена
Ориентировочная цена модели
Аванс
10% 100%
 
Срок лизинга
12 месяцев 36 месяцев
 
Ежемесячный платёж
Первоначальный взнос
* Рассчет платежа носит информационный характер и не является публичной офертой.
Условия лизинга индивидуальны для каждого договора.
Условия лизинга
  • По всей России (Включая Крым, Дагестан и Чечню)
  • Авансовый платеж от 10% (для УЗИ брендов GE, Mindray и Samsung)
  • Оформление лизинга от 48 часов
  • Возможность досрочного погашения
  • Лизинг оборудования от 1 года

Технические характеристики УЗИ аппарат Mindray Consona N6

  • 21,5-дюймовый светодиодный монитор Full HD
  • 13,3-дюймовый плавающий сенсорный экран
  • Революционная платформа ZST+
  • 4 порта для датчиков (опционально 5)
  • B/M/PW/HPRF/Color/Color M/Power/Directed Power Doppler Flow Imaging
  • HD Scope, МАСШТАБИРОВАНИЕ
  • iTouch+, iBeam™, iClear™
  • Dehaze, Echo Boost, 3D iClear, Depth VR
  • iCompare, способ сравнения изображений
  • Медтач™, МедСайт™
  • Управление информацией о пациенте iStation™
  • iScanHelper, учебные пособия
  • Жесткий диск 1 ТБ HDD
  • HR Flow™ — поток высокого разрешения
  • Необработанные данные с поддержкой 3D-печати
  • Выход HDMI и порты USB 3.0
  • uLink – мгновенная передача медицинских данных
  • Умный просмотр, умный расчет
Давайте обсудим
Покупку или лизинг
медицинского оборудования