Санкт-Петербург ваш город?
Да
Выбрать другой город

КТ аппарат GE Brivo CT385

В наличии
Современный 32-срезовый компьютерный томограф для точной диагностики. Обеспечивает высокое качество изображения при сниженной лучевой нагрузке. Удобный и надежный в эксплуатации. Подходит для широкого спектра диагностических исследований.
В корзине
Лизинг
Доставка и лизинг по всей России
Включая Дагестан, Чечню и Крым
Гарантия
Гарантия на медицинское оборудование от производителя!
Послепродажный сервис
Инженерная поддержка
Инструктаж по монтажу и обучение персонала включены в стоимость
Гибкие условия
Оперативная доставка
Лизинг и доставка оборудования в наличии от 1 рабоего дня

Компьютерный томограф GE Brivo CT385 представляет собой современное диагностическое оборудование, сочетающее высокую точность исследований с повышенным комфортом для пациентов. Этот аппарат открывает новые возможности для детальной визуализации анатомических структур.

Ключевые преимущества системы

Качество диагностики

  • Высококонтрастное изображение с минимальным уровнем шумов
  • Возможность выявления минимальных патологических изменений
  • Широкий диапазон настроек для различных типов исследований

Комфорт и безопасность

  • Просторный тоннель гентри снижает ощущение дискомфорта
  • Оптимизированный протокол сканирования сокращает время процедуры
  • Система автоматической регулировки параметров для разных пациентов

Области применения

Диагностические возможности

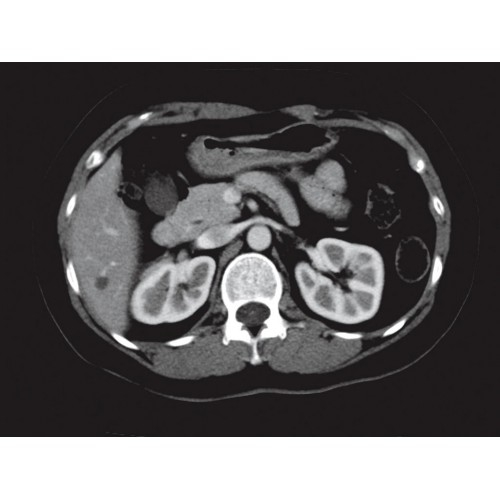
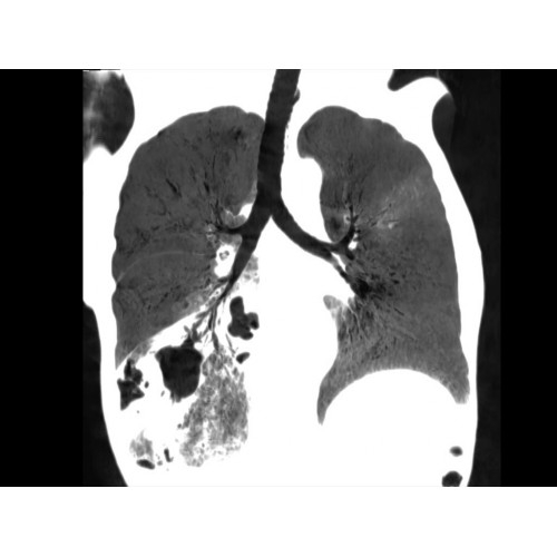
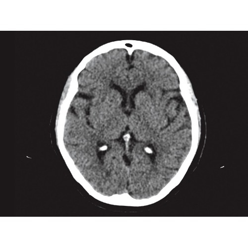
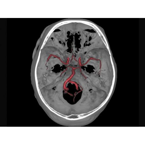
Позволяет проводить комплексные исследования всех анатомических зон, включая нейровизуализацию, ангиографию, исследования органов грудной и брюшной полости. Особенно эффективен для раннего выявления онкологических заболеваний.

Специализированные исследования

Обеспечивает высокую точность при кардиологических исследованиях, визуализации костных структур и суставов. Подходит для динамического наблюдения в ходе лечения.

Особенности работы с аппаратом

Эргономика и удобство

Интуитивно понятный интерфейс управления сокращает время обучения персонала. Компактные габариты позволяют установить оборудование даже в ограниченном пространстве.

Технологическая надежность

Конструкция рассчитана на интенсивную эксплуатацию в условиях медицинского учреждения. Все компоненты системы отличаются повышенной устойчивостью к нагрузкам.

Интеграция в рабочую среду

Аппарат совместим с большинством современных медицинских информационных систем. Поддерживает различные форматы передачи и архивирования данных.

Как получить профессиональное оборудование

В нашем интернет-магазине вы можете подобрать оптимальную конфигурацию томографа для вашего медицинского учреждения. Для консультации по техническим особенностям и условиям поставки обратитесь к нашим специалистам по телефону 8 800 700 21 33.

Характеристики
Срез:
16
Общие
Категория:
КТ-аппараты, Ветеринарные аппараты КТ, Аппараты КТ для легких
Бренд:
GE Healthcare
Онлайн калькулятор
Цена
Ориентировочная цена модели
Аванс
10% 100%
 
Срок лизинга
12 месяцев 36 месяцев
 
Ежемесячный платёж
Первоначальный взнос
* Рассчет платежа носит информационный характер и не является публичной офертой.
Условия лизинга индивидуальны для каждого договора.
Условия лизинга
  • По всей России (Включая Крым, Дагестан и Чечню)
  • Авансовый платеж от 10% (для УЗИ брендов GE, Mindray и Samsung)
  • Оформление лизинга от 48 часов
  • Возможность досрочного погашения
  • Лизинг оборудования от 1 года

Производитель GE Healthcare
Тип корпуса стационарный
Поддержка DICOM да
Генератор, кВт 24
Максимальный вес пациента, кг 180
Тип КТ
Конструкция закрытый
Апертура гентри, см 65
Количество срезов 16
Длина поля сканирования 110
Наклон гентри 30 градусов
Давайте обсудим
Покупку или лизинг
медицинского оборудования